When the World Stood Still: Our Journey to Penny’s Cerebral Palsy Diagnosis.
- Lucy

- Nov 10, 2025
- 6 min read
Life Between Lockdowns: The Calm Before the Storm.
After Penny was born, everything felt calm — eerily calm. She arrived between lockdowns, in a world where joy was muted and connections were made through screens. Friends and family met her over Zoom, and though it was strange, I secretly loved it. She was ours. The world outside was chaotic, but inside our little bubble, it was just us — cocooned, protected, learning this new rhythm of life.

The Early Days: Endless Crying and Quiet Exhaustion
From the beginning, Penny was different. When we brought her home, she looked peaceful — her wide eyes silently studying the world. But after a few days, she woke up, and she cried.
She cried without pause, without breath, as though she was permanently uncomfortable and starving. I spent those months feeding, rocking, and carrying her endlessly. Ashley and I passed each other like ghosts — him taking over at dawn, me collapsing into bed at dusk.
That Christmas was exhausting — a blur of sleepless nights and quiet resilience. Our fancy rocker gave us fleeting moments of peace, until a dog barked or Daisy laughed too loudly. Looking back, I think those months prepared us for what was to come. We didn’t know it, but we were building a kind of strength we would soon need desperately.

The First Signs That Something Wasn’t Right
As Penny grew, her differences became more pronounced. She loved food but would choke on thin air. She had strange little “Pennyisms” — the way she’d stretch her neck back or stiffen her limbs, movements we now know were muscle spasms.
Her right eye began to drift. She favoured her left hand. We thought perhaps she was just left-handed — not realising that was a sign.
When she started crawling, she did it “like a crab,” dragging her right leg behind. It was endearing and concerning all at once. We brushed it off, still cocooned in our bubble of love and denial.
The Day Everything Changed
It was an ordinary afternoon. Penny had a simple cold — nothing serious — and I was sat on the sofa with her while Ashley took Daisy to gymnastics. One moment she was nestled against me, warm and sleepy, and the next her whole body went rigid.
Her eyes rolled back. Her tiny limbs started shaking uncontrollably. She wasn’t breathing. Her lips turned purple, then blue.
Time stopped.
My hands shaking as I called 999, my voice breaking as I told the operator, “She can’t breathe.” Every second felt like an eternity. Then something inside me shifted — pure instinct. I laid her down and started CPR.
I’d done a first aid course when I was pregnant with Daisy, thinking it was one of those things I’d never actually need. But here I was, counting compressions, giving breaths, the operator’s calm voice guiding me through.
Nothing prepares you for doing CPR on your own child.
Then suddenly, she gasped. Her colour began to return, and I heard the sirens. The operator was telling me the paramedics couldn’t find our house. So I grabbed Penny and ran down the drive.
The sight of three paramedic cars and an ambulance pulling in will forever be burned into my memory. One paramedic ran toward me and took her from my arms. She looked impossibly tiny, even smaller than when she was born.
They hooked her up to monitors — oxygen, pulse, blood pressure — and I’ll never forget the look on their faces. I’ve seen paramedics work before, with Ashley having been in the police, but never like that. They were serious. Focused. Silent.
Ashley arrived just as they were loading her into the ambulance and, after a quick explanation, we were blue-lighted to Stoke Hospital.
Penny recovered quickly in the end, and the doctors called it a febrile seizure. “It’s quite common,” they said. But I knew it wasn’t right. Call it mother’s intuition — that siren in your soul that never quiets — told me something was wrong.

A Mother’s Intuition: Fighting to Be Heard
When we got home, we started to watch. And the more we watched, the more we saw. The blank stares. The stiffness in her neck. The way she’d tilt her head as though her body didn’t quite obey her.
I talked to my dad about it one day — he’s a physiotherapist — and he came straight over. I watched as he gently tested her limbs and balance, the same way her physio does now. He told me not to worry, but you know your parent. I think he probably knew then what was to come.
Trying to get a GP appointment at that time was like mining for gold. We were dismissed, over and over. Finally, I broke down at the baby clinic in front of a health visitor. I’m not one for dramatics, but it all came spilling out — the seizures, the choking, the stiffness, the fear.
She listened. Really listened. And then she said something that has stayed with me ever since:
“No one knows their child like their mother. If you think something isn’t right, don’t give up. She’s all you have to fight for her.”
I called my boss that afternoon and we started searching for private clinics. I was desperate — not for reassurance, but for answers.
A few years earlier, I had lost a close friend to a brain tumour. The symptoms, in my mind, lined up — the eye drift, the stiffness, the choking, the seizures. Every late-night Google search seemed to confirm it. I was convinced I was about to relive that nightmare — only this time, it was my baby.
The Diagnosis That Changed Everything
We booked an appointment at a local private clinic and were seen quickly. The consultant was kind. She ran through her checks, took notes, and then said softly, “It’s not a tumour. I can categorically say it’s not that. But it is something.”
She didn’t use the words cerebral palsy then. Instead, she talked about developmental differences and neurological pathways — essentially describing it without naming it. We left with a referral and a heart full of questions.
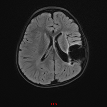
From there, everything blurred into a whirlwind of appointments and referrals. Penny was sent for an MRI at Stoke.
When the results came back, we were called into the consultant’s office. I remember her saying gently, “We did find something, but it’s important to focus on what Penny can do, not what the scan shows.”
Trying to lighten the moment, I joked, “So you found a brain then? No gaping holes?”
She smiled and said, “Hold that thought,” before turning the screen towards me.
And there it was — a huge, unmistakable void in her brain, a cyst filling the space where tissue should have been.
It felt unreal — like someone else’s life, someone else’s child. But also, it felt like I already knew. There wasn’t a big revelation; it simply confirmed what my heart had known all along.

Navigating the Unknown
As a lawyer, I’m trained to plan for every possible outcome. But nothing prepares you for being told to “watch and wait.” There’s no strategy for that. No logic.
Ashley and I coped in opposite ways. He focused on the positives — that she was happy, that she was Penny. I wanted to look at the details, the scans, the research. I needed to prepare; he needed to breathe.
We misread each other, mistaking love for denial, worry for overreaction. But through the tears and tension, we found our way back. We remembered the vows we made — in sickness and in health — and the family we had built together.
Finding Light in the Darkness
Through it all, Penny has been our light. Her laughter, her joy, her sheer determination to experience the world her way. She has taught us more about strength than we ever knew existed.
God doesn’t give you what you can’t handle — and I truly believe He knew Penny was meant for us. She is our greatest challenge, and our greatest gift. Because through her, we have learned that love isn’t about fixing or fearing — it’s about seeing.
And she is, without question, the light of our family.

About the Author
Written by a Mother of three, including Penelope — a bright, resilient little girl with cerebral palsy, epilepsy, and autism. My Penelope was created to help parents track, understand, and advocate for their children with additional needs.
Discover: My Penelope App→






Comments